Ефективні методи відбілювання зубів: що пропонують стоматології Хмельницького

- Білосніжна усмішка — справжня окраса будь зовнішності. Однак далеко не кожного природа нагородила білими зубами. На щастя, цей недолік можна легко виправити, оскільки сучасна стоматологія пропонує безліч методів відбілювання зубів.
- Редакція сайту vsim.ua підготувала для Вас огляд стоматологій Хмельницького, де Вам запропонують професійне відбілювання зубів та зроблять усмішку неперевершеною.
Стоматологія «Посмішка Успіху»
Адреса: вул. Молодіжна, 7
Запис: 098 565 56 55, 067 794 13 92
Графік роботи: ПН-ПТ: 08:30-19:30
СБ: 08:30-16:00
Instagram
Компанія на Google Maps
В стоматології «Посмішка Успіху» відбілювання виконується за допомогою системи Beyond.
Систему Beyond ™ на даний момент використовують більш ніж в 100 країнах по всьому світу, і сотні людей щодня проходять процедуру відбілювання. Метод відбілювання зубів BEYOND ™ є цілком безпечним, що підтверджується відсутністю будь-яких ускладнень у пацієнтів. Процедура відбілювання поєднує в собі високоякісні матеріали з потужним безпечним випромінюванням галогенової лампи, таким чином гарантуючи максимальні результати і знижуючи тривалість процедури до 30-45хвилин.
Переваги:
- миттєвий результат;
- відповідає світовим стандартам відбілювання;
- ефективна, безпечна та безболісна процедура;
- результат тримається впродовж 1,5 - 2роки;
- система Beyond являється найкращою вже протягом 7 років;
- не шкідлива через використання світла блакитного спектру високої інтенсивності, який фільтрується через 2 оптичні лінзи, що мають більше 30 шарів спеціального покриття;
- в результаті ми маємо максимально білі зуби, без підвищеної чутливості.
В стоматології «Посмішка Успіху» гарантують швидку безпечну і ефективну процедуру, в результаті якої Ви отримаєте білосніжну посмішку.
Стоматологія «Посмішка Успіху» - з турботою про кожен зуб.
Cтоматологічний центр «Дент Хелп»
Адреса: вул. Зарічанська, 57/1
Запис: 067 352 65 00
Графік роботи: ПН-ПТ: 09:00-21:00
СБ: 09:00-15:00
Instagram
Компанія на Google Maps
У стоматологічній клініці «Дент Хелп» використовується спеціальний прилад «Бейонд».
Система світлового відбілювання «Бейонд» є, без сумніву, безпечною! Оскільки прилад «БЕЙОНД» використовує холодне світло при низькій температурі, нерв зуба не подразнюються. Також, відбілюючий гель розроблено на водяній основі і це попереджає взаємодію з м’яким тканинами ясен та руйнування зубів або емалі.
Тести доводять, що після курсу відбілювання системою «БЕЙОНД» у пацієнтів спостерігається покращення кольору зубів на 5-14 відтінків за шкалою Віта! Жодна інша система відбілювання не гарантує таких результатів! Всього за 30-40 хвилин, в кабінеті гігієни, колір Ваших зубів неймовірно покращиться.
Стоматологія AsProDent
Адреса: вул. Зарічанська, 9
Запис: 096 738 07 02
Графік роботи: ПН-ПТ: 09:00-18:00
СБ: 09:00-16:00
Facebook Instagram
Компанія на Google Maps
Втрата білизни зубів - це природний процес, який відбувається через вік, неправильне харчування, погану гігієну, а також паління. Все це призводить до пожовтіння емалі і виглядає не зовсім естетично.
Повернути білосніжність посмішки, Ви можете в клініці AsProDent з допомогою процедури відбілювання зубів. Вони застосовують абсолютно безпечну та ефективну американську систему відбілювання Magic Smile. Всього за 1,5-2 години ви отримуєте світлішу посмішку до 8 тонів. Найголовніше, без подразнень та чутливості. А при дотриманні усіх рекомендацій, отриманний ефект буде тривати від 6 до 24 місяців.
Вартість відбілювання: 2 100 грн.
Стоматологічний кабінет БодіДент
Адреса: вул. Подільська, 17/1
Запис: 093 260 25 60, 067 998 36 83 (Viber)
Графік роботи: ПН-ПТ: 09:00-19:00
СБ: 10:00-14:00
Компанія на Google Maps
Діти і відбілювання
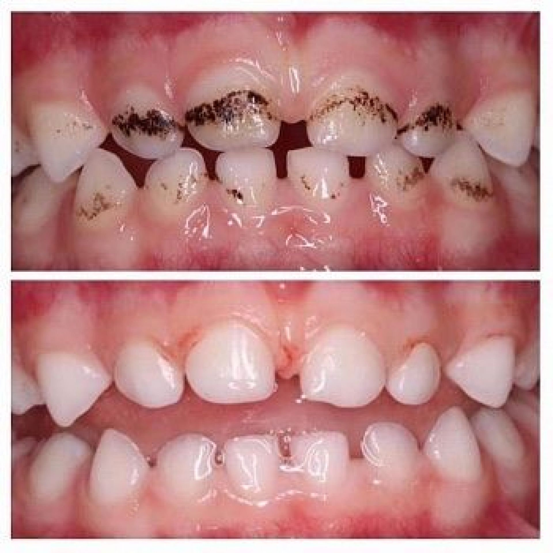
Дітям зуби не відбілюють. Але.... В малому віці діти не в змозі якісно доглядати за своїми зубами. Тому діти, так само, як і дорослі, потребують регулярного професійного чищення зубів, після якого зуби виглядають білими та сяючими. Мікрофлора, з якої складається зубний наліт, призводить до пошкодження емалі молочних зубів, а в майбутньому і постійних. Тому регулярне відвідування (1 раз на 6 місяців) стоматолога і проведення гігієни порожнини рота, дозволяє зберігати дитячі зуби здоровими і міцними на тривалий час. Коли діти посміхаються - щасливі батьки!
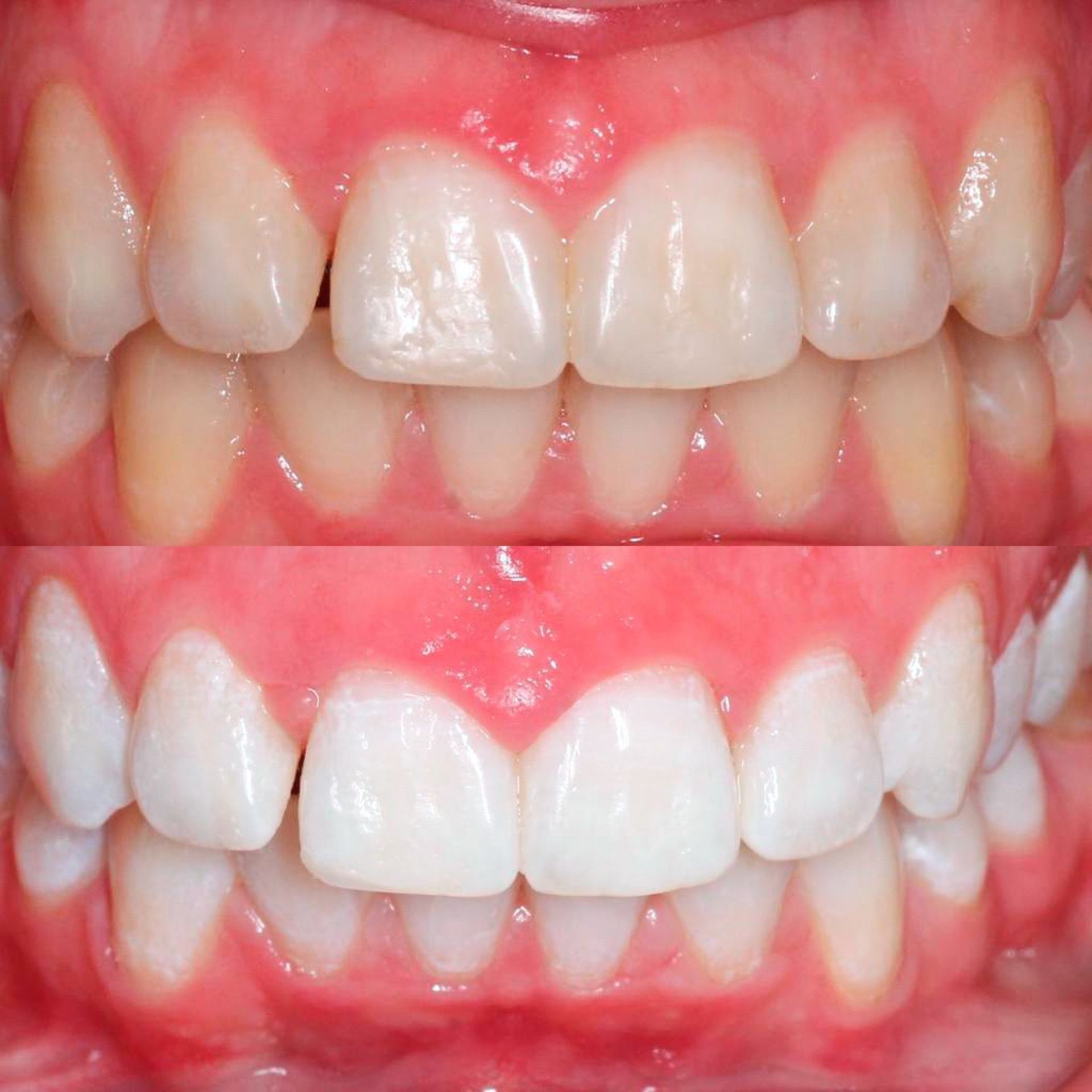
Для дорослих посмішка - це те в що закохуються!
Білосніжна посмішка робить людину впевненою в собі та не залишає байдужих сторонніх. Процедура відбілювання Magic Smile зробить зуби білими та дозволить посміхатися щиро та відверто.
Процедура складається з декількох етапів:
- Консультація. Оцінюється стан зубів, їх колір і очікування пацієнта.
- Проводиться обробка зубів повітряно-абразивним апаратом з ізоляцією ясен.
- На зуби наноситься гель 44% Carbamide peroxide, який активізується ультрафіолетовою лампою. Цикл відбілювання триває 15 хвилин, після чого гель видаляється. Процедура відбілювання складається з 4-х таких циклів.
- По закінченню процедури відбілювання лікар дає рекомендації по догляду за забами і як зберегти досягнутий результат.
В кабінеті БодіДент ви завжди можете придбати подарунковий сертифікат на процедуру відбілювання зубів для своїх рідних, друзів та коханих! Сяюча білосніжна посмішка - це природньо!
Сімейна стоматологія "Вікторія"
Адреса: вул. Зарічанська, 26
Запис: 067 372 06 14
Графік роботи: ПН-ПТ: 09:00-18:00
СБ: 08:30-16:00
Компанія на Google Maps
Відновити природний блиск усмішки допоможе професійна чистка зубів. Якщо ж вирішили досягти максимального ефекту – зверніться в Сімейну стоматологію "Вікторія". Фахівці проводять професійне відбілювання зубів Beyond за американською технологією. Метод дозволяє досягти приголомшливих результатів без шкоди для зубної емалі.
Прогресивна технологія «Бейонд» – визнаний лідер серед апаратних систем. В Україні цей метод тільки набирає обертів популярності. Міжнародні клінічні дослідження показали, що відбілювання Beyond – дієвий і абсолютно безпечний спосіб зробити емаль білосніжною.
Головні переваги методу:
- технологія дозволяє освітлити зуби на 12 відтінків; чудова новина для тих, у кого зуби дуже потемніли через наліт, тут головне – не перестаратися, щоб зберегти природну білизну;
- результат видно відразу, і тримається він до 2 років;
- точкове позиціонування дозволяє освітлювати вибрані ділянки або окремі зуби;
- спеціальний ультрафіолетовий фільтр максимально знижує дію апарата на внутрішні тканини, що особливо важливо при підвищеній чутливості емалі.
- не завдає дискомфорт під час проведення;
- не порушує структуру зуба, емалі і внутрішніх шарів;
- не робить емаль крихкою і не пошкоджує її.
Звертаючись в сімейну стоматологію "Вікторія" Ви можете бути впевнені у високому професіоналізмі лікарів. Вже з перших хвилин перебування в центрі, ви будете оточені щирою турботою і увагою.
Читайте актуальну інформацію та залишайте свої відгуки про Стоматології Хмельницький на сайті top20.ua
top20.ua - ваші відгуки про послуги у Хмельницькому