Що таке зубні імпланти, чи боляче їх ставити і як довго служитимуть. Огляд стоматологій Хмельницького

- Втрата зубів – це не лише естетична проблема, а й ризик для здоров'я. Відсутність зубів негативно впливає на мову, травлення, може призвести до деформації щелепи.
- Сучасна стоматологія пропонує ефективне рішення – зубні імпланти.
#партнерський проєкт
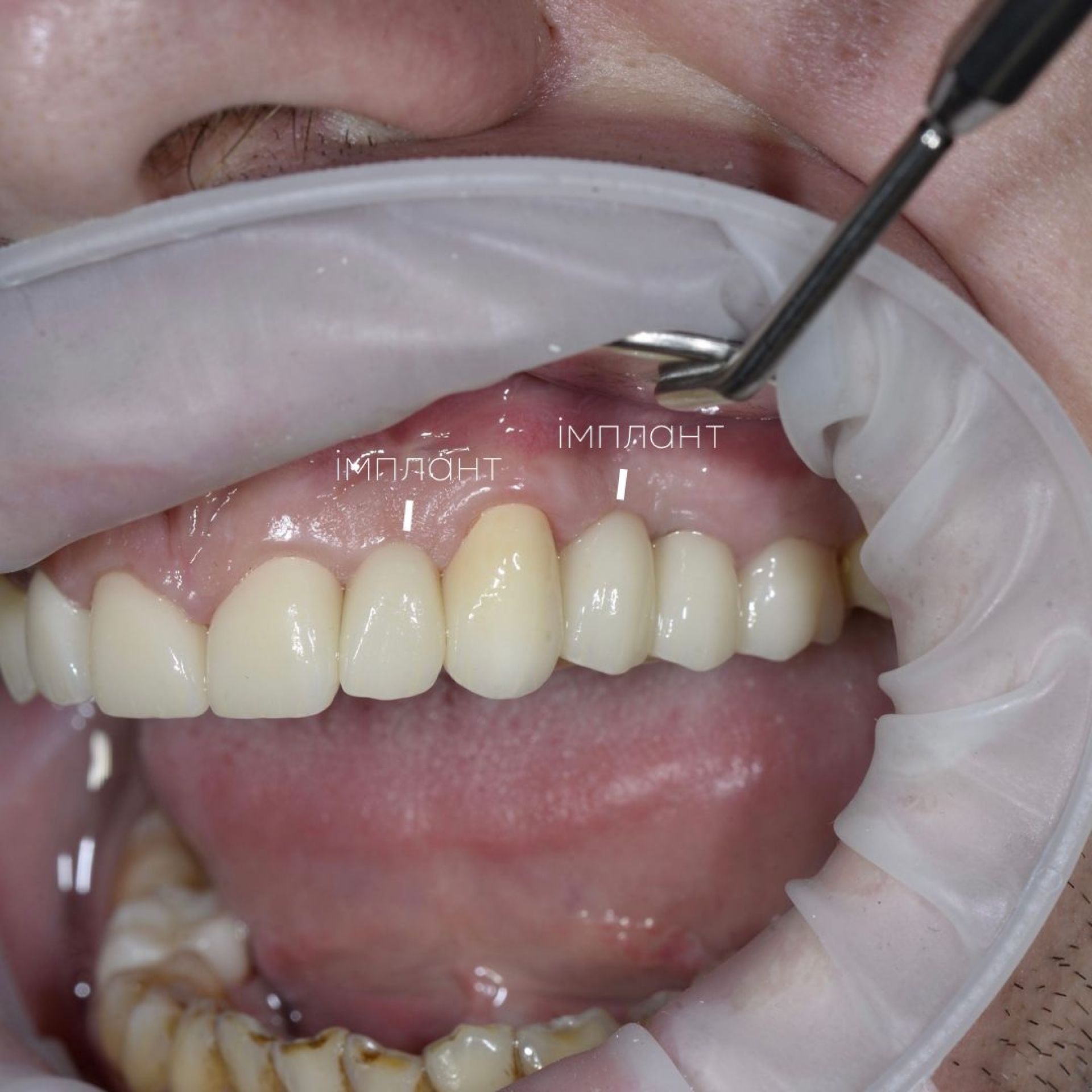
Імплант – це штучний корінь зуба, який виготовляється з титану. Він хірургічно вставляється в щелепну кістку, на ньому фіксується коронка, міст або протез. Імпланти відновлюють не лише естетику посмішки, але й функціональність зубів, даруючи Вам комфорт та впевненість.
Процедура імплантації проводиться під місцевою анестезією, тому болю Ви не відчуєте. Сучасні методи та обладнання роблять процес максимально комфортним.
При правильному догляді імпланти можуть служити протягом 20-30 років і більше.
Зміст
Стоматологія Asprodent
Найкращий спосіб відновлення втраченого зуба - це імплантація.
Імплантацію зубів рекомендовано робити одразу після втрати, або через кілька місяців. Тому, що далі відбувається зменшення об’єму кісткової тканини - атрофія.
Втрачені зуби негативно впливають не тільки на красу посмішки, але й на якість пережовування їжі та правильну роботу скронево-щелепних суглобів. Тому, процес відновлення зубного ряду потребує компетентного підходу.
Як відбувається сам процес імплантації в AsProDent:
- в місце відсутнього кореня вживлюється титановий імплант
- після приживлення імпланту, а це від 2-х до 6-ти місяців встановлюється формувач ясен
- пізніше встановлюється абатмент та тимчасова коронка
- завершальним етапом буде встановлення постійної коронки
В AsProDent працюють лише з всесвітньо відомими та якісними системами імплантів.
Втрата хоча б одного зуба, несе шкоду для організму в цілому!
Адреса: вул. Зарічанська, 9
Запис: 096 738 07 02
Графік роботи: ПН-ПТ: 09:00-18:00
СБ: 09:00-16:00
Facebook /AsProDent
Instagram @asprodent
Стоматологія Мединського
Стоматологічна імплантація давно і міцно увійшла в повсякденне життя наших співвітчизників. Якщо ще якихось 25-30 років тому цей метод відновлення втрачених зубів (а разом з ними функції та естетики) був ексклюзивним, був доступним не всюди і займались імплантацією лікарі-рушії прогресу, число їх вимірювалось десятками і вони всі один одного знали, ділились досвідом, хвалились успіхами, обговорювали невдачі...
Це все зараз, на щастя, збереглося! Для кола Лікарів, які турбуються про своїх Пацієнтів!!! Але з набуттям популярності імплантації з'явились лікарі-заробітчани...
В чому є одна із запорук успіху лікування? Повторюваність! Лікар має виконувати якусь процедуру часто і регулярно. Тільки в цьому випадку він стає "безпечним" для пацієнта. "Заробітчани", які намагаються охопити для них неосяжне - небезпечні.
Порада пацієнтам, які розгубились в пошуках лікаря не боятись запитати у нього про все, що їх цікавить: спеціалізацію, досвід роботи, та інше. Якщо після спілкування з лікарем Ви не відчуєте до нього довіри - шукайте далі...
Не зважайте на гарні картинки в соціальних мережах (це дуже легко згенерувати і продати довірливим пацієнтам охочим до білих зубів та низьких цін)
Запитайте у друзів, родичів, колег рекомендації (особливо в цьому сенсі поталанило мешканцям невеликих міст) про клініку та лікаря.
В результаті цього ви можете уникнути помилок, які в деяких випадках можуть стати фатальними.
Адреса: вул. Панаса Мирного, 1/3
Запис: 063 600 0112
Графік роботи: ПН-ПТ: 09:00-19:00
СБ: 09:00-15:00
Instagram @medynsky_dental_clinic
Стоматологічна клініка INNOVA
Стоматологічна клініка INNOVA забезпечить вам інноваційний підхід, безпечне, якісне та безболісне лікування зубів.
Лікарі клініки є кваліфікованими фахівцями у галузі імплантології, регулярно відвідують міжнародні конференції, удосконалюють навички на майстер-класах.
Приймає хірург-імплантолог Латинський Микола Едуардович. Стаж роботи: понад 10 років.
Ще один важливий фактор, який вигідно відрізняє клініку INNOVA від конкурентів – власний комп'ютерний томограф. Таким чином, можливо провести комплексну діагностику перед плануванням операції. Дані КТ зубів дозволяють не лише оцінити стан кістки пацієнта, а також дозволяють виготовити спеціальні хірургічні шаблони для майбутньої операції та оцінити становище імплантату відразу після операції.
З безлічі сучасних систем в клініці використовують імплантати від перевірених надійних виробників Osstem; Neodent; Straumann.
Якісна інноваційна імплантація приносить не тільки естетичне оформлення, а також величезну користь для організму. Вона зберігає щелепні кістки й суглоби, підтримує нормальний склад мікрофлори і шлунок отримує добре пережовану їжу.
Адреса: Старокостянтинівське шосе, 5/4ж
Запис: 098 771 02 02
Графік роботи: ПН-ПТ: 09:00-19:00
СБ: 10:00-15:00
Facebook /innova.centre.khm
Instagram @innova_centre_khm
Стоматологічна клініка VA Clinic
Коли потрібно робити імплантацію зубів?
Імплантація зубів рекомендується в таких випадках:
- Втрата одного або кількох зубів внаслідок травми, карієсу або інших причин.
- Необхідність заміни старих, нефункціональних зубних протезів.
- Втрата кісткової маси внаслідок вікових змін або інших факторів, що ускладнюють встановлення традиційних протезів.
Процес імплантації зубів
- Планування.
- Установка імплантату.
- Період загоєння.
- Встановлення протезу.
Чому обрати стоматологічну клініку VA Clinic у Хмельницькому?
Стоматологічна клініка VA Clinic в Хмельницькому відома своїм високим рівнем професіоналізму, застосуванням сучасних технологій та індивідуальним підходом до кожного пацієнта. Rваліфіковані лікарі забезпечать вас не лише якісною імплантацією, але й післяопераційним доглядом та підтримкою.
Зробіть перший крок до повернення вашої посмішки та комфорту у їжі та мовленні - зверніться до VA Clinic за консультацією вже сьогодні!
Адреса: вул. Панаса Мирного, 18 Б
Запис: 097 517 55 03, 068 208 21 16, 093 837 72 49
Сайт parodont.com.ua
Графік роботи: ПН-ПТ: 10:00-19:00
Facebook /Стоматологія VA clinic
Instagram @va_clinic_
YouTube @Vaclinic
Стоматологічний кабінет Добрий лікар
Відсутість зубів призводить до негативних наслідків, починаючи від некрасивого естетичного вигляду, закінчуючи витонченням і деформацією щелепи. Тривала відсутність зуба призводить до зміщення сусідніх зубів, постійного скупчення їжі і, як наслідок, розвитку карієсу. Один з ефективних і сучасних способів усунення даної проблеми - це імплантація зубів.
Переваги імплантації зубів у "Добрий лікар":
- Не пропонують окремі послуги, а вирішютьпроблему пацієнта повністю - аж до встановлення готової коронки або протеза. Мають власну зуботехнічну лабораторію.
- Проводять повну підготовку до імплантації: кісткову пластику, лікування стоматологічних захворювань, якщо потрібно видалення зубу, ортодонтичне лікування прикусу.
- Високий рівень професіоналізму стоматологів та сучасне обладнання, дає можливість ретельно провести планування імплантації зубів і звести до мінімуму ризик ускладнень. До ваших послуг досвідчені хірург-імплантолог, ортопед, ортодонт, які тісно співпрацюють в одній команді.
Приймає хірург, ортопед з 12-ти річним досвідом - Прощай Сергій Миколайович.
Адреса: вул. Зарічанська, 9
Запис: 068 003 09 09
Графік роботи: ПН-ПТ: 09:00-19:00
Facebook /Liliyaestet
Instagram @dobruilikar
Стоматологічна клініка «МНВЦ «Плоскирів»
Переживаєте через відсутність зуба? Відкладаєте імплантацію через страх тривалої реабілітації, відторгнення імпланту або дискомфорту під час процедури?
Запрошуємо в Медичний науково-виробничий центр "Плоскирів" на імплантацію зубів будь-якої складності.
У своїй роботі в клініці використовують імпланти тільки перевірених і кращих світових виробників (Південна Корея, Швейцарія тощо).
Техніка одномоментної імплантації: сучасна методика, під час якої встановлення імпланту проходить одразу після видалення зуба. Фактично, дві складні процедури (видалення зуба і встановлення імпланту) виконується за один візит, Але у випадках, коли пацієнт потребує відновлення давно втрачених зубів, лікар розглядатиме інші техніки.
Ваш фізичний та психологічний комфорт під час процедури - пріоритет клініки (здорова посмішка без болю та в дискомфорті).
В МНВЦ "Плоскирів" найголовнішим критерієм є якіст послуг і для цього у них є все: досвідчені лікарі, кращі матеріали, найсучасніші цифрові 3D-технології, обладнання та власна зубопротезна лабораторія.
Завітайте на консультацію та отримайте розгорнутий план лікування.
Адреса: вул. Бажана, 19
Запис: 068 380 00 52
Сайт mnvcploskiriv.com.ua
Графік роботи: ПН-ПТ: 09:00-18:00
Instagram @stomat_ploskiriv
Читайте також:
Професійна гігієна ротової порожнини: важливість та переваги процедури. Поради від стоматологів
Як зекономити час та нерви: клінінгові компанії зроблять усе замість вас