Професійна гігієна ротової порожнини: важливість та переваги процедури. Поради від стоматологів

Професійна гігієна ротової порожнини: важливість та переваги процедури. Поради від стоматологів

Професійна гігієна ротової порожнини – це невід'ємний компонент загального здоров'я та дбайливого ставлення до власного організму. Сучасний ритм життя та звичайний стрес, поєднані з неправильною гігієною та харчуванням, створюють умови для розвитку різних захворювань порожнини рота. У цьому контексті важливо розглядати професійну гігієну як ефективний інструмент для підтримання здоров'я зубів та ясен, а також профілактики серйозних захворювань.

У нашому огляді ми звернемо увагу на стоматології Хмельницького, що вирізняються високим стандартом послуг та доступністю сучасних методів професійної гігієни. Розглянемо переваги регулярних візитів до стоматолога та процедур, які допомагають утримувати вашу усмішку яскравою та здоровою. 

#партнерський проєкт

Зміст


Feloniuk Clinic

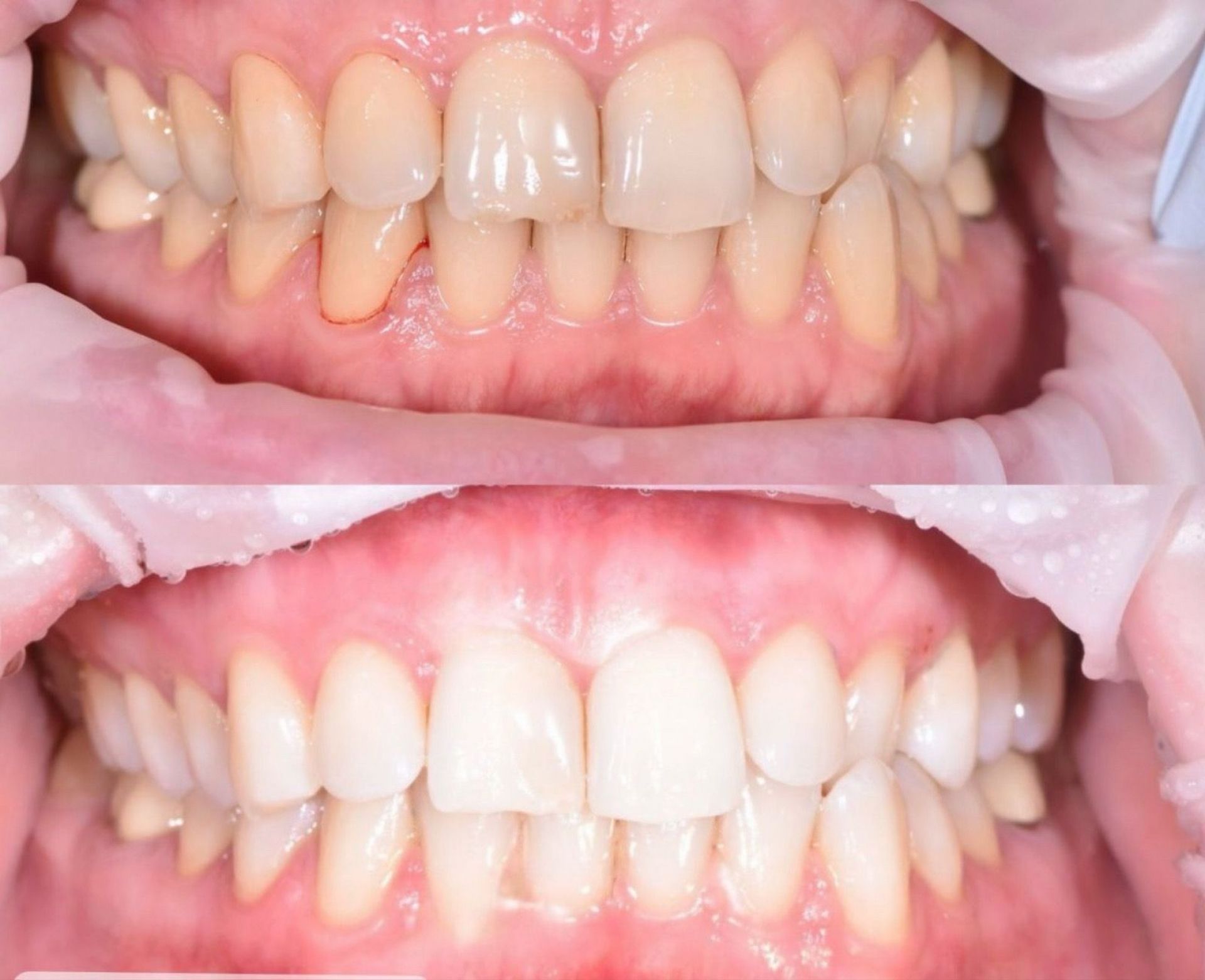
"МИ НЕ ПРОВОДИМО ПРОФЕСІЙНОЇ ГІГІЄНИ!!! Ми виконуємо контроль якості Вашої індивідуально щоденної чистки зубів і там де ви не дочистили - допоможе Feloniuk Clinic. Та допоможемо запобігти виникненню нальоту в майбутньому " - це та фраза, яку Ви почуєте на первинній гігієні у Feloniuk Clinic.

У професійну гігієну вони вкладають не лише найсучасніші інструменти та методики, а й правильну європейську філософію чистих зубів.

Свято вірять в те, що завданням стоматолога є навчити попереджувати виникнення зубного нальоту, адже ЧИСТІ ЗУБИ НЕ ХВОРІЮТЬ.

Саме тому на усіх професійних гігієнах фахівці клініки проводять фарбування нальоту та фотографують його. Лікар обов'язково рахує індекс гігієни та обов'язково показує пацієнту ті місця, де він не зміг дочистити вдома.

Методом Air Flow, ультразвуком та пародонтальними кюретами (Рут скелінг), гігієніст доводить до ідеалу поверхні усіх зубів та в кінці візиту презентує швейцарську щітку і йоршик (це входить в ціну). Навчає пацієнта правильної щоденної індивідуальної чистки зубів.

Один раз на 6 місяців Feloniuk Clinic запрошує, щоб Ви похвалилися якістю індивідуальної щоденної чистки, і знову у Вас буде індекс гігієни, професійна гігієна та повторне навчання чистки зубів.

Такий цикл повторюється до тих пір, поки Ви не прийдете на візит із ідеально чистими зубами.

Певній кількості пацієнтів лікарі відмовляють у професійній гігієні, тому що у них зовсім відсутні зубні відкладення.

Пам'ятайте! Чисті зуби не хворіють.

Feloniuk Clinic -  стоматологія, що дарує приємні емоції.

Адреса: вул. Зарічанська, 11-Е
Запис098 33 77 4 77
Графік роботи: ПН-ПТ: 09:00-20:00
СБ: 10:00-18:00
Facebook /feloniukclinic
Instagram @feloniukclinic


Стоматологія ASPRODENT

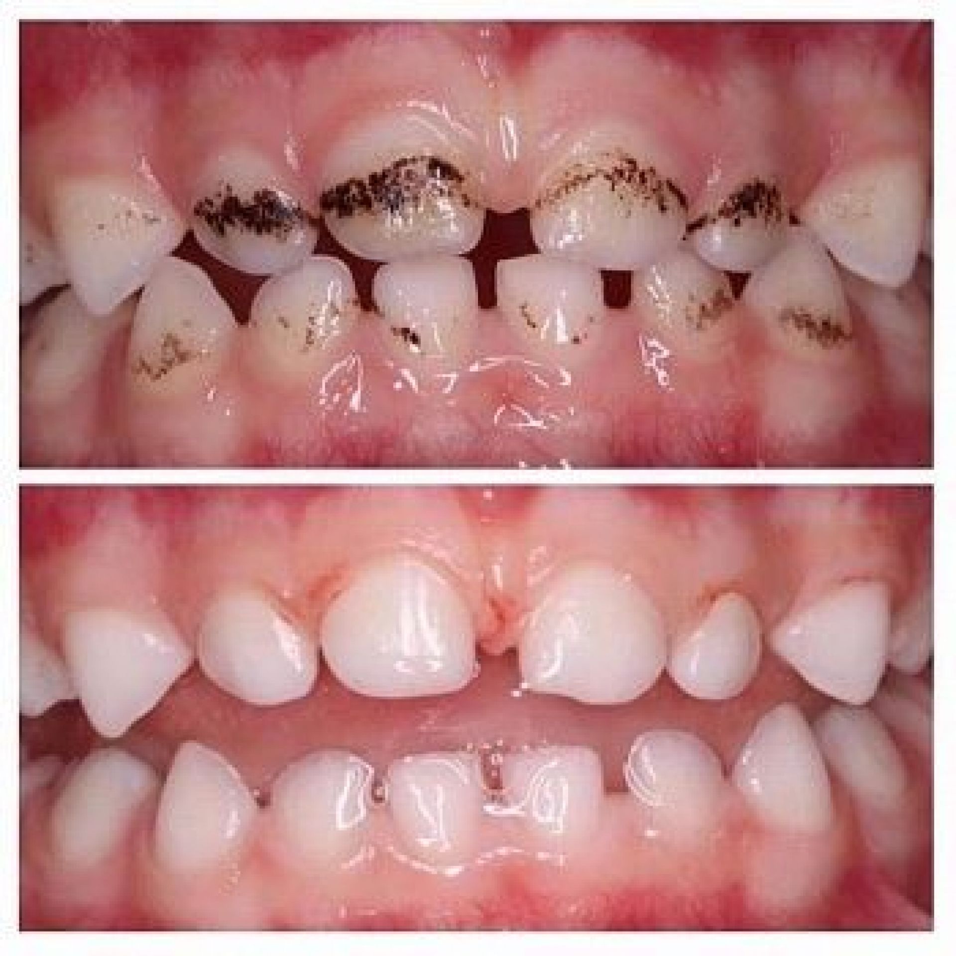
Щоденна домашня гігієна є однією з головних умов збереження здоров’я та краси зубів. Чистити зуби рекомендують вранці та ввечері, однак навіть за частого та ретельного догляду видалити всі відкладення неможливо. Залишки їжі проникають у міжзубний простір та під ясна, через це утворюється наліт, який з часом мінералізується і перетворюється на зубний камінь. Усунути його можна лише за допомогою професійної гігієни зубів у стоматолога.

Професійна гігієна зазвичай є першим етапом у комплексному лікуванні зубів.

Процедура професійної гігієни зубів дозволяє:

  • усунути зубний камінь;
  • видалити затверділий наліт на зубах та у міжзубних проміжках;
  • зменшити темні плями;
  • позбутися неприємного запаху з рота;
  • знизити ризик розвитку карієсу та запалення ясен.

Таким чином ця процедура допомагає підтримувати здоров’я та красу зубів.

В клініці ASPRODENT представлено декілька видів професійної гігієни порожнини рота:

  • професійна гігієна для пацієнтів з брекетами
  • професійна гігієна для пацієнтів з імплантатами та коронками
  • професійна гігієна для дітей та підлітків
  • професійна гігієна порожнини рота для дорослих.

Для кожного виду гігієни індивідуально підбираються засоби та матеріали, якими вона проводиться.

Для забезпечення найкращого результату за допомогою ультразвукового скейлингу лікар знімає тверді відкладення (зубний камінь). В глибоких ділянках зубів (парадонтальних кишенях) працюють ручними інструментами – кюретами.

Наступний етап проводиться полірування зубів повітряно-абразивним методом за допомогою апарату Prophyflex та спеціального порошку, основним компонентом якого є карбонат кальцію, гліцин або еритритол.

Завершальним етапом є полірування силіконовими гумками та пастами.

Також під час процедури лікар оглядає стан ваших ясен та зубів, і за необхідності, рекомендує лікування, яке вам потрібно провести.

Адреса: вул. Зарічанська, 9
Запис096 738 07 02
Графік роботи: ПН-ПТ: 09:00-18:00
СБ: 09:00-16:00
Facebook /AsProDent
Instagram @asprodent


Стоматологічний кабінет Добрий лікар

Професійна гігієна у стоматологічному кабінеті «Добрий лікар» поділяється на кілька етапів:

Ультразвукове чищення. Скейлер, (стоматологічний прилад) створює хвилю, що розбиває зубне каміння і знімає наліт. Дія ультразвукового скелета спрямоване переважно на усунення твердих зубних відкладень. Це безболісна і безпечна процедура, яка не завдає шкоди емалі зуба.

Ручний скейлінг. Це процедура, яка спрямована на видалення зубного каміння та мінералізованого нальоту під яснами та в міжзубних проміжках, у місцях де недоступний ультразвук.

Air Flow, обробляє поверхню зуба за допомогою струменя порошку та води. До його складу входять гранули карбонату кальцію круглої форми, які усувають залишки нальоту та пігментації, без нанесення шкоди емалі та ясна. Не приносить пацієнту неприємних відчуттів під час процедури, має нейтральний присмак, на відміну від порошків, що містять соду!

Полірування спеціальними пастами. Поліруючи поверхню зуба, вона стає гладкішою і до неї менше пристає наліт.

Фторування. Зміцнює зуби препаратами, які містять фтор. Фториди дбають про стійкість зубів до кислого середовища, а також усувають їхню підвищену чутливість.

Після процедури гігієни в клініці лікар-стоматолог розповість як потрібно правильно доглядати за своїми зубами, індивідуально підбере Вам засоби догляду за порожниною рота в домашніх умовах, які допоможуть Вам зберегти гарну усмішку
на довгі роки.

Стоматологічний кабінет «Добрий лікар» відноситься до мережі медустанов, що працює в Хмельницькому не перший рік. Жителі міста знають його як місце, де надають якісні послуги за помірною вартістю і де завжди допомагають пацієнтам. Головна перевага стоматології – це широкий спектр послуг, що надаються :

  • виправлення прикусу знімними і незнімними ортодонтичними апаратами (пластинками, брекетами);
  • естетичну реставрацію зубів;
  • ендодонтичне лікування каналів з використанням мікроскопа;
  • протезування усіх видів дефектів зубного ряду (робота з власної лабораторії);
  • видалення зубів і імплантація;
  • відбілювання емалі, зняття нальоту і зубного каменю;
  • лікування під загальним наркозом;
  • інші послуги хірургічної, терапевтичної, ортодонтичної і ортопедичної стоматології.

Адреса: вул. Зарічанська, 9
Запис: 068 003 09 09
Графік роботи: ПН 10:00-19:00, ВТ-ПТ 09:00-19:00, СБ-НД 09:00-17:00
Адреса: вул. Хотовицького, 11
Запис: 097 172 13 45
Графік роботи: ПН 10:00-19:00, ВТ-ПТ 09:00-19:00
Адреса: Вінницьке шосе, 59
Запис: 097 172 15 54
Графік роботи: ВТ-ПТ: 09:00-19:00
Адреса: Проскурівського підпілля, 201/1
Запис: 068 003 09 09
Facebook /Liliyaestet
Instagram @dobruilikar


Стоматологічний кабінет БодіДент

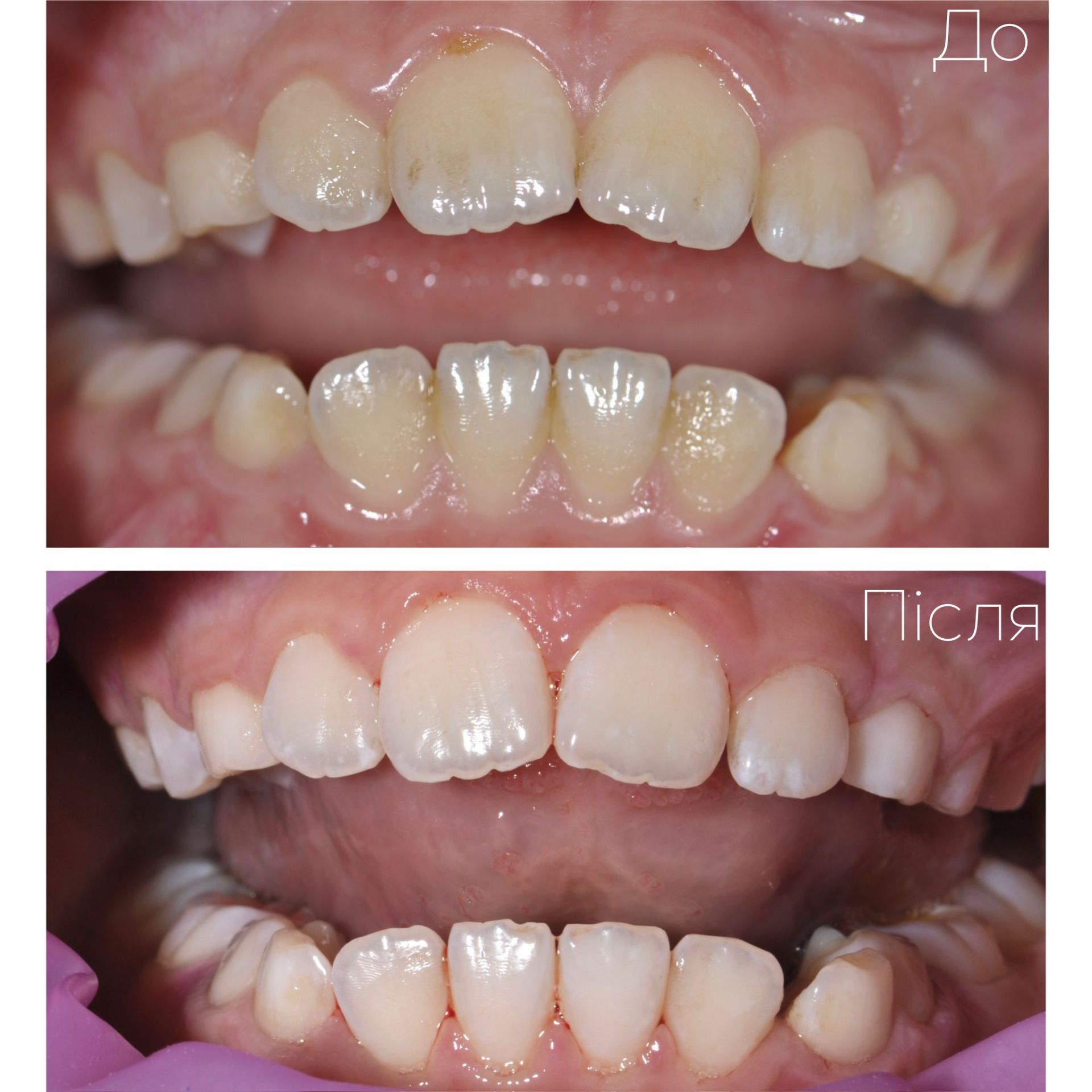
Зубний наліт формують більше 300 видів бактерій. В середньому людина чистить зуби протягом 45-70 секунд, хоча стоматологи рекомендують робити це 2-3 хвилини. Якщо Ви не користуєтесь міжзубним йоршиком, то Ви не очищуєте 40% поверхні Ваших зубів.\

Лікарі кабінету БодіДент проводять професійну гігієну порожнини рота апаратом ProphyFlex. Чистка за цією технологією є поетапною.

На першому етапі ультразвуковим скелером знімається зубне каміння. А після цього проводиться полірування зубів потужним струменем води, повітря та гідроксиапатиту (кальціймістний порошок). Це ProphyFlex Air Flow.

Завдяки такій чистці зуби стають гладенькими, бо заполіровуються всі шороховатості та дрібні подряпини емалі. Зубам повертається природній колір.

В стоматологічному кабінеті "БодіДент" професійна гігієна ротової порожнини проводиться із застосуванням найсучасніших технік та матеріалів, забезпечуючи максимальний комфорт для пацієнтів. Ця процедура є важливим етапом у підтримці здоров'я та краси усмішки, що підкреслює пріоритет нашого кабінету у наданні повноцінної стоматологічної допомоги з урахуванням індивідуальних потреб кожного клієнта. Завдяки висококваліфікованим фахівцям та використанню передового обладнання, в "БодіДенті" процедура професійної гігієни стає доступною та ефективною для кожного пацієнта.

У стоматологічному кабінеті "БодіДент" пропонується широкий спектр послуг:

  • Дитяча стоматологія, спрямована на вчасне та безболісне лікування дітей, створення довірчого стосунку з малим пацієнтом та його батьками.
  • Терапевтична стоматологія, яка включає у себе лікування карієсу, відновлення зубів за допомогою сучасних матеріалів та методів.
  • Хірургічна стоматологія, що охоплює видалення зубів, а також відновлення кісткової тканини та імплантацію зубів.
  • Безболісне лікування зубів, що забезпечує комфорт та безпеку під час проведення будь-яких стоматологічних процедур.
  • Ортодонтичне лікування, спрямоване на виправлення прикусу та вирівнювання зубів за допомогою брекетів, щільних пластинок та інших сучасних методів.
  • Ренгенографія, яка надає можливість отримання точних та детальних зображень зубів та їхнього кореневого каналу для діагностики та планування лікування.
  • Вектор-терапія, новітній метод лікування пародонтальних захворювань без болю та дискомфорту.
  • Протезування, включаючи виготовлення коронок, мостів, вкладок та протезів з використанням якісних матеріалів.
  • Лазерна корекція вуздечки, що забезпечує швидке та безболісне видалення вуздечок, відновлення нормального функціонування ротової порожнини.
  • Лазерна пародонтологія та хірургія, використання лазерних технологій для лікування захворювань ясен та м'яких тканин порожнини рота.
  • Реставрація зубів, яка дозволяє відновити цілісність та красу пошкоджених зубів за допомогою сучасних матеріалів та технологій.
  • Відбілювання, що допомагає видалити зубний нальот та плями, повертаючи білий колір зубам.

У кожній з цих послуг стоматологічний кабінет "БодіДент" гарантує якість, індивідуальний підхід та найвищий рівень задоволення потреб пацієнтів.

Адреса: вул. Подільська, 17/1
Запис093 260 25 60, 067 998 36 83 (Viber)
Графік роботи: ПН-ПТ: 09:00-19:00
СБ: 10:00-14:00


Естетична стоматологія

Естетична стоматологія завжди прагне поєднати красу і здоров'я у посмішці кожного пацієнта.

Чистка зубів Air Flow – це один з найбільш сучасних і безпечних варіантів видалення зубного нальоту та запобігання карієсу. Ця процедура, яка використовує спеціальний апарат для подачі повітря, води та натрію бікарбонату, забезпечує ефективне видалення зубного нальоту та забруднень, що накопичуються в порожнині рота.

Air Flow виявляється особливо корисним у профілактиці хвороб ясен та карієсу, допомагаючи уникнути утворення зубного каменю та плям. Порівняно з традиційними методами чищення, ця технологія не тільки ефективна, але й надає пацієнтам комфорт та відчуття свіжості.

Важливо звертати увагу на регулярність проведення процедури Air Flow, оскільки це сприяє підтриманню оптимального стану орального здоров'я та попередженню серйозних проблем. Такий підхід до гігієни ротової порожнини відображається на загальному здоров'ї організму та підвищує якість життя.

Обираючи клініку Естетична стоматологія, пацієнти отримують комплексний підхід до здоров'я та естетики їхньої посмішки. Стоматологія використовує передові технології, включаючи лікування з мікроскопом, цифрову стоматологію, відбілювання (Beyond), та високоточну рентген діагностику. Це дозволяє забезпечити високий стандарт медичної допомоги та задовольнення потреб пацієнтів. Ваша посмішка заслуговує на краще, і Естетична стоматологія прагне забезпечити їй відповідний догляд, починаючи з професійної гігієни ротової порожнини за допомогою технології Air Flow.

Адресавул. Зарічанська, 11Б
Запис098 766 77 55
Графік роботи: ПН-ПТ: 09:00-20:00
СБ: 09:00-18:00
Instagram @r_dantist


Стоматологія White Dent

Вже більше десяти років стоматологія White Dent дарує здоровʼя та красу усмішкам пацієнтів. Лікарі стоматології регулярно вдосконалюють свої теоретичні та практичні навички, щоб результат лікування був найкращим.

Професійна гігієна — це не примха, а необхідна процедура для здоровʼя та краси ваших зубів.

Здорові зуби — це, перш за все, злагоджена робота лікаря та пацієнта, результат комплексу профілактичних, лікувальних та естетичних процедур.

Професійна гігієна — одна із процедур, яка має проводитись раз на 6 місяців в обовʼязковому порядку, задля уникнення появи проблем із зубами, таких, як: карієс, зубний камінь та запалення ясен.

У стоматологія White Dent фахівці надають перевагу комбінованому методу очищення зубів:

  •  на першому етапі видаляється мʼякий наліт та тверді відкладення з поверхні емалі та пародонтальних кишень;
  •  на другому етапі – застосовується методику Air Flow, яка передбачає використання суміші води, повітря та спеціального порошку, яка під тиском подається із спеціального хендібластера;
  •  останній крок — полірування поверхні зубів спеціалізованими пастами.

Якісна професійна гігієна — це лише одна із послуг, яку надає стоматологія White Dent. Окрім цього, працюють у таких напрямках:

  • імплантація;
  • протезування;
  • відбілювання;
  • видалення;
  • дитяча стоматологія;
  • терапевтичне лікування;
  • підрізання вуздечки.

Зробіть вашу усмішку ідеальною – звертайтесь у стоматологію White Dent.

Адресавул. Шухевича, 1в
Графік роботи: ПН-ПТ: 09:00-19:00
СБ: 10:00-15:00
Facebook /whitedent.km.ua
Instagram @whitedent.km


Читайте також:

Усе для ванної кімнати: огляд магазинів сантехніки

Де перевірити зір дітям та дорослим у Хмельницькому 

keyboard_arrow_up