Куля пройшла в міліметрах від серця: хмельницькі медики врятували життя військовому (ФОТО)
-
Це вже вдруге за останній тиждень медики провели складну операцію та витягнули кулю з тіла українського захисника.
-
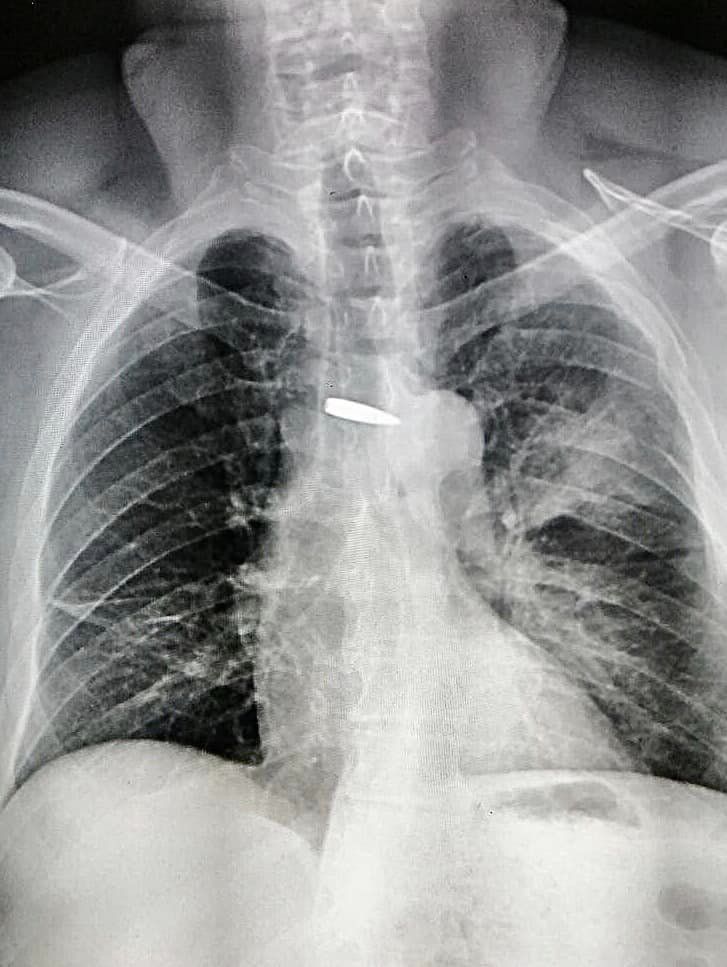
Снаряд пройшов крізь ліве плече, ліву легеню та зупинився в міліметрах від серця.
-
Його витягнули та подарували пацієнту в день його народження.
-
Дізнавайтеся подробиці унікальної операції.
Вдруге за останній час в Хмельницькій міській лікарні виконують унікальні оперативні втручання задля порятунку військовослужбовців. Нагадаємо, нещодавно ми розповідали, як куля калібром 7.42 застрягла в попереку бійця. У нього були пошкоджені внутрішні органи та відмічалася слабкість у ногах. Та медикам вдалося витягнути кулю й зберегти життя військовому. Читайте про це у матеріалі Куля застрягла у попереку: в Хмельницькому військовому провели унікальну операцію
Днями бригада хірургів міської лікарні зробила ще одну складну операцію — вони витягнули кулю, яка могла забрати життя військовому.

Травму пацієнт отримав на бойовому завданні 4 лютого. Він відчув гострий пекучий біль в ділянці серця та почав кашляти кров’ю. Бійця доставили у найближчий шпиталь, там поставили діагноз — кульове поранення.
Ворожий снаряд пройшов крізь ліве плече та ліву легеню в міліметрах від серця, роздробив поперечний відросток грудного хребця.

Медики встановили де знаходиться куля до міліметра завдяки новітньому обладнанню, кажуть в міській лікарні. Завдяки цьому, операція пройшла швидко та малотравматично.
Лікарі стабілізували стан пацієнта та поставили дренажну систему в ліву плевральну порожнину. А після цього витягнули снаряд.

— З операційної пацієнт вийшов власними ногами. Куля, яка могла забрати життя військового, була оперативно вилучена та подарована в день народження пацієнту! — додають медики.
Операцію робила ціла команда з хірургів, нейрохірургів та рентгенологів Хмельницької міської лікарні.

Читайте також трагічну історію 29-річної хмельничанки Оксани Гладій. Жінка пішла видаляти зуби у стоматологічну клініку. Перед тим, як вона сіла в стоматологічне крісло, чоловік поцілував її у щічку та пообіцяв забрати з клініки після процедури. Більше місяця Оксана провела у комі, в неї констатували смерть мозку, а 2 лютого жінка померла. Без матері лишився 3-річний син. Що каже про цей випадок її чоловік та яка позиція клініки читайте у матеріалі Стоматологія, кома, смерть: померла 29-річна хмельничанка Оксана Гладій
Читайте також:
-
Куля застрягла у попереку: в Хмельницькому військовому провели унікальну операцію
-
Стоматологія, кома, смерть: померла 29-річна хмельничанка Оксана Гладій
Слідкуйте за новинами Хмельницького у Telegram.
-
Лариса ВощинаБраво Медикам! Дякуємо Вам! -
Аня Залужнаогоооо -
Наталія ФеденькоЗахисникові міцного здоров'я а лікарям вилике дякую. -
Zinaida SheremetaЩИРО ДЯКУЄМО ЗДОРОВ'Я ВАМ МІЦНОГО